心电图分析软件_心电图、心脏彩超、心脏冠脉造影、无创冠脉磁共振的区别及用途…

提到心脏检查,我们常听说做心电图、心脏彩超,生疏一些的还有心脏冠脉造影、无创冠脉磁共振,这四个都是检查心脏的,那么四者之间有什么区别,各自用途又是什么p>

今天就和大家梳理下这四项心脏检查的临床应用。

心电图是我们最耳熟的。其实,心电图如果细分的话,有三类:

常规心电图;

动态心电图;

运动平板心电图。

其中,常规心电图是我们日常体检中最常见的项目。它是用来检测心脏电活动状况的,在心脏存在疾病或疾病早期时,心脏的电活动就会出现异常。

做心电图检查可以判断是否存在早搏、房颤等心律失常问题,还可以用于心肌缺血的诊断。

心电图的检查简单快速且经济,目前应用于医院中各个科室。

心脏彩超

利用心脏彩超,医生可以透过人体的皮肉和骨骼,查看心脏的结构、大小,以及心脏的搏动、血流等情况。

心脏彩超主要用途如下:

1、判断心脏的位置,以及心脏与内脏的位置关系;

2、检查心脏结构是否异常;

3、评价心脏血流动力学变化,测量各瓣口流速和压差,判断心血管内异常血流部位和起源等;

4、检查心包疾患;

5、评价心脏手术及介入治疗后心脏结构的恢复情况和血流动力学的转归。

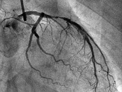
心脏冠脉造影

心脏冠脉造影就是给心脏的冠状动脉进行造影成像分析,是诊断冠状动脉粥样硬化性心脏病(冠心病)的一种常用且有效的方法,较为安全可靠,现广泛应用于临床,被认为是诊断冠心病的“金标准”

冠脉造影的方法是从手腕处的桡动脉或大腿处的股动脉的人为切口处,插入一根导管,并沿行到心脏的冠状动脉开口处,并把造影剂(在X光下显影)注入冠状动脉,然后利用X光对冠脉造影成像,这样冠状动脉内部的形态就可以显示出来。

741826249bc4d37d1d011b35a87d0763.png

心脏冠脉造影可供医生判断冠脉有无狭窄、斑块等,了解冠脉的内部形态及血流速度。

无创冠脉磁共振

无创冠脉磁共振是利用磁共振影像设备以及心血管影像分析软件,获得心脏从结构到功能、从平面到三维/四维的全面信息,可对冠脉进行三维影像重建,测量血管腔及其狭窄部分,无创冠脉分析,为心血管系统的健康筛查提供精准判断

相对于上述利用导管进行的心脏冠脉造影,无创冠脉磁共振的优势体现在以下几个方面:

1、无创伤性、无辐射性、无需造影剂;

2、对软组织的成像能力强,实现高对比度、高分辨率成像;

3、实现任意角度、任意方向的三维立体成像。

通俗地说,无创冠脉磁共振就是对心脏进行三维影像重建,供医生任意角度查看心脏状况,判断有无病变,而且全程是无创伤的。

更形象地理解四项检查

姑且把心脏比作四居室房子。

彩超是看房子大小,墙是否结实,门是否严实;

心电图是看电路是否通畅,电压是否稳定,有无短路漏电;

冠脉造影是检查水管有无堵塞、生锈,是否需要疏通。检查过程对水管有创伤,严重时会对房子产生一定危害;

无创冠脉磁共振则是在不损伤水管、房子的情况下,精准、智能地检查水管有无堵塞、生锈,是否需要疏通。检查过程安全高效。

至于什么情况下,采取哪种检查方法,则需要根据个体情况及医生建议做选择。

相关资源:口腔管理软件牙医管家口腔管理软件v3.11.0.16标准版_牙医管家…

声明:本站部分文章及图片源自用户投稿,如本站任何资料有侵权请您尽早请联系jinwei@zod.com.cn进行处理,非常感谢!

上一篇 2020年11月14日
下一篇 2020年11月14日

相关推荐